Studio Bietti: da oltre 50 anni al vostro servizio.

freccia a destra freccia a destra
Scopri di più sullo studio

Dal 1968 tramandiamo la passione per il nostro lavoro di padre in figlio, da professionista a professionista.

Un sorriso unico, tante soluzioni

freccia a destra freccia a destra
Scopri di più su i nostri trattamenti

Percorsi di trattamento individuali e personalizzati dalla chirurgia avanzata alla prevenzione.

Per ogni trattamento, la forza di una squadra

freccia a destra freccia a destra
Scopri il nostro staff

Un team affiatato, coordinato e professionale per garantire sempre il massimo risultato.

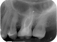
Controllo radiografica
Intervento

CONSULENZA ESPERTA

Diagnosi dettagliata e piani di trattamento personalizzati per la tua salute dentale.

Tecnologie all’avanguardia per garantire risultati efficaci e confortevoli.

Nel corso degli anni, rivoluzioni epocali hanno trasformato le professioni mediche, compresa l’odontoiatria. L’avvento delle tecnologie digitali e dei nuovi materiali, insieme all’evolversi delle esigenze dei pazienti, ha orientato le soluzioni odontoiatriche verso terapie mini o micro-invasive. Questo ha intensificato l’attenzione sulla conservazione dei tessuti naturali e sull’importanza della prevenzione. Lo Studio Bietti di Caravaggio si impegna a integrare queste innovazioni per offrire cure all’avanguardia, promuovendo la salute orale e il benessere dei pazienti.

freccia a destra freccia a destra
Contattaci per un appuntamento
Trattamenti –
Trattamenti –
01

Conservativa

Branca dell’odontoiatria che si occupa di prevenzione, diagnosi e trattamento delle carie e di altre lesioni dei denti, con l’obiettivo di preservare quanto più possibile la struttura dentale naturale.

02

Endodonzia

Attraverso questo trattamento, ci occupiamo della diagnosi e cura di patologie della polpa dentale e dei tessuti periapicali al fine di salvare e conservare i denti più compromessi.

03

Chirurgia rigenerativa

Un procedimento mirato a rigenerare i tessuti ossei e gengivali, con diverse tecniche e materiali specifici.

04

Implantologia

Con questo trattamento ci occupiamo del rimpiazzo degli elementi dentali persi tramite impianti osteointegrati per ripristinare estetica e funzione del cavo orale.

05

Protesi

Progettiamo, produciamo e applichiamo dispositivi sostitutivi per denti mancanti o danneggiati. Questi possono essere fissi o mobili, mirando a ripristinare la funzionalità e l’estetica.

06

Estetica dentale

Un trattamento volto a migliorare l’estetica e l’armonia dei denti, delle gengive e del sorriso nel suo insieme con svariate tecniche come sbiancamento, ortodonzia, rimodellamento gengivale e faccette.

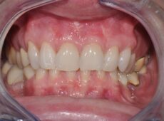
OGNI SORRISO HA UNA STORIA

Sorridi senza limiti!

Studio Bietti offre trattamenti avanzati per migliorare il tuo sorriso. Precisione e professionalità che garantiranno la salute a lungo termine di denti e gengive.

freccia a destra freccia a destra
Scopri tutti i nostri trattamenti

INNOVAZIONE E CURA

Esperienza odontoiatrica di alto livello

Esperienza stress-free: creiamo un ambiente accogliente per rendere ogni visita confortevole. Ogni piano di trattamento è personalizzato per garantire risultati ottimali e duraturi.